
Chwilkę...
Tomografia komputerowa (CT, TK) to zaawansowana metoda diagnostyczna, umożliwiająca szczegółowe obrazowanie struktur wewnętrznych organizmu zwierzęcia za pomocą promieniowania Roentgena. Dzięki tej technologii możliwe jest uzyskanie przekrojów ciała zwierzęcia w wysokiej rozdzielczości, co znacząco zwiększa trafność diagnozy i skuteczność leczenia.
Zastosowanie tomografii w diagnostyce chorób neurologicznych:
Tomografia komputerowa odgrywa kluczową rolę w diagnostyce schorzeń neurologicznych u zwierząt, zwłaszcza wtedy, gdy objawy kliniczne są niespecyficzne, postępujące lub nagłe. Badanie pozwala na szczegółową ocenę struktur ośrodkowego układu nerwowego – zarówno mózgowia, jak i rdzenia kręgowego – oraz przylegających elementów kostnych.
W przypadku padaczki, tomografia umożliwia wykluczenie przyczyn strukturalnych, takich jak nowotwory, wady wrodzone, wodogłowie czy zmiany pourazowe. Ma to kluczowe znaczenie w różnicowaniu padaczki idiopatycznej od wtórnej, która wymaga odmiennego podejścia terapeutycznego.
W diagnostyce guzów mózgu, CT pozwala na precyzyjne określenie lokalizacji, rozmiaru oraz charakteru zmiany nowotworowej, a także ocenę jej wpływu na sąsiednie struktury i obecność obrzęku mózgu. Użycie środka kontrastowego umożliwia lepsze zobrazowanie unaczynienia zmiany i odróżnienie zmian litych od torbielowatych.
W przypadkach urazów czaszkowo-mózgowych, tomografia komputerowa pozwala szybko ocenić stan czaszki i mózgu – wykryć złamania, krwiaki, stłuczenia mózgowia lub przemieszczenia struktur wewnątrzczaszkowych. W stanach nagłych to jedno z podstawowych narzędzi diagnostycznych.
Bardzo istotnym zastosowaniem TK w neurologii weterynaryjnej jest również diagnostyka kręgosłupa i rdzenia kręgowego. Tomografia umożliwia dokładną ocenę kanału kręgowego, przestrzeni międzykręgowych, wyrostków stawowych, krążków międzykręgowych oraz samych kręgów. Umożliwia wykrycie takich patologii jak:
W połączeniu z podaniem kontrastu do przestrzeni podpajęczynówkowej (tzw. mielotomografia), możliwa jest jeszcze dokładniejsza ocena rdzenia kręgowego i identyfikacja miejsc jego ucisku, co jest kluczowe przy planowaniu leczenia operacyjnego.
Tomografia komputerowa umożliwia szczegółową ocenę układu kostno-stawowego, przewyższając pod względem dokładność klasycznego zdjęcia rentgenowskiego. Jest niezastąpiona w przypadku urazów złożonych, nietypowych złamań (np. stawowych, wieloodłamowych) oraz w sytuacjach, gdy konwencjonalne metody obrazowania nie dostarczają wystarczających informacji.
CT pozwala na:
W ortopedii weterynaryjnej tomografia znajduje również zastosowanie w planowaniu zabiegów chirurgicznych, takich jak osteotomie korekcyjne, stabilizacje stawów czy rekonstrukcje po złamaniach. Obrazowanie trójwymiarowe umożliwia dokładne opracowanie strategii zabiegu i dobór odpowiednich implantów. Dodatkowo czasami na podstawie tomografii drukuje się modę 3D, by w sakli 1:1 dopasować zastosowanie implantów kostnych.
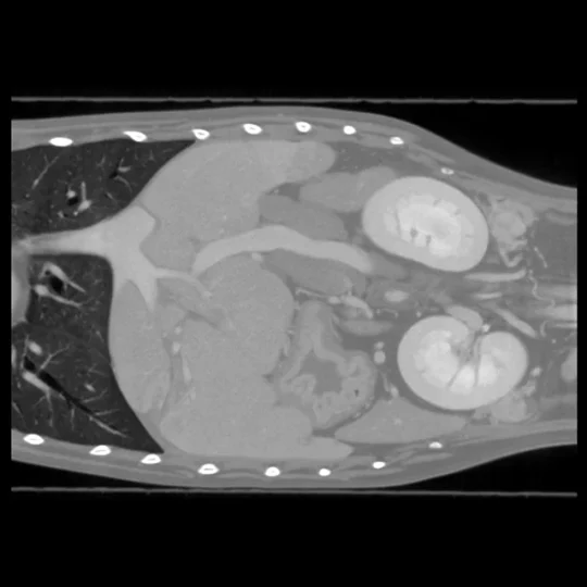
Tomografia komputerowa umożliwia kompleksową ocenę narządów klatki piersiowej, jamy brzusznej oraz miednicy, co jest szczególnie istotne w przypadkach przewlekłych, niejednoznacznych objawów klinicznych, podejrzenia nowotworów, urazów wewnętrznych lub zmian w obrębie układów: oddechowego, pokarmowego, moczowo-płciowego i limfatycznego.
W obrębie klatki piersiowej, CT pozwala na dokładne zobrazowanie miąższu płuc, opłucnej, śródpiersia, przepony oraz serca. Jest niezastąpiona w wykrywaniu guzów płuc, rozedmy, krwiaków, ciał obcych oraz przerzutów nowotworowych. Zastosowanie kontrastu umożliwia dodatkowo ocenę naczyń klatki piersiowej.
W diagnostyce jamy brzusznej, tomografia pozwala na ocenę narządów takich jak wątroba, śledziona, trzustka, nerki, nadnercza, przewód pokarmowy oraz pęcherz moczowy. Umożliwia wykrycie guzów, torbieli, kamieni, zmian zapalnych, perforacji oraz niedrożności jelit. TK umożliwia po podaniu kontrastu zobrazować położenie przecieku wrotno-wątrobowego (ZWO).
W obrębie miednicy, CT służy do diagnozowania złamań, uszkodzeń stawów biodrowych, guzów prostaty, zmian w pęcherzu moczowym, pochwie, macicy oraz okolicznych węzłach chłonnych. Szczególnie cenne jest trójwymiarowe obrazowanie struktur kostnych w przypadkach urazów lub wrodzonych deformacji.
Tomografia komputerowa stanowi jedno z podstawowych narzędzi w diagnostyce i monitorowaniu nowotworów u zwierząt. Umożliwia precyzyjne określenie lokalizacji, wielkości oraz charakterystyki zmiany – zarówno nowotworów pierwotnych, jak i przerzutowych. Dzięki obrazowaniu w wysokiej rozdzielczości możliwe jest uwidocznienie granic guza, jego relacji z sąsiednimi strukturami, obecności nacieków czy destrukcji tkanek.
Tomografia komputerowa jest coraz częściej wykorzystywana w diagnostyce stomatologicznej zwierząt, zwłaszcza w przypadkach trudnych, przewlekłych lub wymagających precyzyjnego planowania leczenia. W porównaniu do klasycznych zdjęć RTG, tomografia oferuje znacznie wyższą rozdzielczość i możliwość trójwymiarowej rekonstrukcji struktur kostnych, co pozwala na dokładną ocenę zmian niedostrzegalnych w tradycyjnych badaniach obrazowych.
W szczególności, tomografia komputerowa znajduje zastosowanie w:
Badanie to jest szczególnie przydatne u pacjentów z przewlekłym stanem zapalnym jamy ustnej.
W wielu przypadkach badanie tomograficzne wykonywane jest z użyciem środka kontrastowego podawanego dożylnie. Kontrast pozwala na lepsze uwidocznienie naczyń krwionośnych, narządów miąższowych oraz zmian patologicznych, takich jak guzy, stany zapalne czy zaburzenia ukrwienia. Jego zastosowanie znacząco zwiększa wartość diagnostyczną badania i umożliwia dokładniejszą ocenę funkcjonowania poszczególnych układów.
Badanie tomograficzne przeprowadzane jest w krótkotrwałym znieczuleniu ogólnym, najczęściej wziewnym, co pozwala na uzyskanie stabilnych i wyraźnych obrazów przy zachowaniu pełnego bezpieczeństwa zwierzęcia. Samo badanie trwa zazwyczaj kilka minut, a uzyskane dane mogą mieć kluczowe znaczenie przy podejmowaniu decyzji terapeutyczno – leczniczych.
Współczesna medycyna weterynaryjna, oparta na nowoczesnych technologiach obrazowania, takich jak tomografia komputerowa, pozwala na skuteczniejsze leczenie, trafniejsze diagnozy i znacząco poprawia rokowania u pacjentów z nawet najbardziej złożonymi problemami zdrowotnymi.
Wcześniejsza rezerwacja terminu, zapewni krótszy czas oczekiwania na wizytę.